
直至2019年10月15日止,香港警察己經拘捕了市民和示威者已3000人,大多數被捕者都處於私刑,完全無差別的毆打和性侵的情況,已是很平常。有的打到嚴重創傷,他們的毒打被捕者,完全是違犯聯合人權公約。也違犯了香港政府的法律,然而他們從不承認自己的錯晤,甚至話因為示威者暴力而引致警察執法,而且是最低武力。他們不斷在說謊。
酷刑和私刑 Torture and Extrajudicial Punishment








Hong Kong Police had already arrested 3000 protesters and citizens alike. Most arrested persons were subjected to extrajudicial punishment, indiscriminate attacks and sexual assault. Such conduct has become common practice for the police. Many sustained serious injuries after severe beatings. These acts are not only in violation of the International Bill of Human Rights, they are also in violation of the laws of Hong Kong. Yet they have never admitted to any misconduct or wrongdoing. The police turned around and accused protesters of inciting violence, claiming that they were only using minimal force to counter protesters violence. Given the huge disparity in equipment and force between the two sides, this is demonstrably false.
直至2019年10月15日止,香港警察己經拘捕了市民和示威者已3000人,大多數被捕者都處於私刑,完全無差別的毆打和性侵的情況,已是很平常。有的打到嚴重創傷,他們的毒打被捕者,完全是違犯聯合人權公約。也違犯了香港政府的法律,然而他們從不承認自己的錯晤,甚至話因為示威者暴力而引致警察執法,而且是最低武力。他們不斷在說謊。
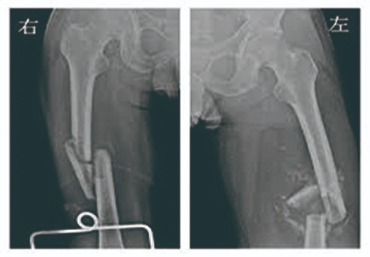
From the information gathered from North District Hospital, given to us by on-site medical staff, 36 patients cladded in black who went to its ER seeking medical attention all suffered from severe fractures. Violent beatings caused these fractures, and the patients all came from San Uk Ling Holding Centre. Other than that, around 6 to 7 female patients, who arrived from San Uk Ling, had been sexually assaulted, some to the point of uterine bleeding and severe trauma to the uterus. They were still being treated at the hospital. After they left San Uk Ling, some were not charged with anything but had sustained life-altering injuries due to police brutality. Police brutality against protesters has resulted in over 40 traumatized victims. Hong Kong Police have violated both the United Nations Convention against Torture and Cap. 427 Crimes (Torture) Ordinance of Hong Kong Law. They can face up to life imprisonment. The aforementioned atrocities committed by the police are evidence enough that they have violated Cap. 427.


另一個同樣在北區醫院的案件,案件事主是62歲上水居民鍾先生,他在6月26日凌晨在該區醉酒與人爭執,其後涉襲警被捕及送往北區醫院急症室,期間因醉酒而遭捆綁於病床,再推送至接收精神紊亂病人的獨立病房。根據醫管局提供閉路電視片段,事主先後遭兩名戴上手套、穿警察制服的人士拳打下體、掌摑面部、以染有尿液的衣物掩蓋口鼻、大力按壓眼睛、拗其無名指和手腕、用電筒近距離直接照射眼睛、強行脫去事主內外褲、以警棍拍打下體等。立法會議員林卓廷指出,軍裝警員連環使用私刑虐打,並引用427章《刑事罪行(酷刑)條例》第一部第三條(1)、(6),若涉事警員以公職身分行事,在執行公務期間蓄意令他人受到劇烈疼痛或痛苦,即犯「酷刑罪」,最高可判處終身監禁。
Another case at North District Hospital was that of Mr. Chung, a 62-year-old Sheung Shui resident. In the early hours of 26 June 2019, Chung got into a fight after he was drunk. He was later arrested for assaulting a police officer and was sent to the ER of North District Hospital. At the time, he was tied to a hospital bed due to his drunkenness and was taken to a separate ward used to house patients with mental disorders. As seen in close-circuit television footage provided by the Hospital Authority, Chung endured a series of humiliating assaults committed by two individuals in police uniform donning gloves which included being punched in his crotch, slapped in the face, poked in the eyes, having his nose and mouth covered by urine-soaked clothing, his finger and wrists forcefully bent, a torch shone directly into his eyes at close range, having his pants and underwear forcibly removed and having his crotch slapped by a baton, among other inhumane actions.
Legislative Council member Lam Cheuk-ting pointed out that frontline police officers' use of extrajudicial violence violates Cap. 427 Crimes (Torture) Ordinance Part I Section 3 (1) (6) because, as public officials, they "intentionally inflict[ed] severe pain or suffering on others while performing official duties" . Offenders are liable to imprisonment for life.。






酷刑和私刑 Torture and Extrajudicial Punishment
在不同的警署同樣有被捕者被性侵犯及強姦,從收到的報告來看,我們看到將軍澳警署設有酷刑室,也有女被捕者被性侵犯;另外天水圍警署也有一名年輕女士被性侵犯。在葵涌警署同樣有警員犯了嚴重性侵犯,歷時逾2個月的逆權運動,不但警暴失控,更揭破警察疑性侵正被扣留的被捕女子。有關注性暴力的團體做問卷調查,訪問多名女被捕者。團體代表昨晚(28日)在中環的反送中MeToo集會上,率先披露初步調查結果,引述女受害人在被扣留期間,稱遭警員用硬物磨擦其陰蒂,更「俾警員餵食一啲利尿嘅藥物,當佢忍唔住想去廁所嘅時候,警員拒絕畀佢咁樣做,最後令到佢當場失禁,成條裙都佈滿尿液。」
In addition to the cases mentioned above, there were allegations of sexual assaults and rape coming from different Police Stations. From the reports received, Tseung Kwan O Police Station has a torture room, and there are reports of female protesters being sexually assaulted at this station. Apart from that, a young female arrestee was sexually assaulted at Tin Shui Wai Police Station. Police officers at Kwai Chung Police Station have also committed serious sexual assaults. The protests had gone on for a little over two months, not only had we seen the escalation of police brutality, rampant sexual abuse of female detainees by the police had become prevalent. An organization concerning sexual violence conducted questionnaire surveys, interviewing multiple female arrestees. A representative of the said organisation disclosed their preliminary findings at the 28 August 2019 #MeToo rally. The representative also quoted a female detainee as saying that when she was in police custody, an officer rubbed her clitoris with hard objects.
吳傲雪今早在電台節目中又指出,在葵涌警署,一名女警為她的手腕扣上索帶時,叫旁邊一名男警幫忙,該男警大力用手拍她的胸部,但她不敢反抗。她稱記得男警的樣貌,身穿警察黑色背心,委任證反轉。她又指,女警望着她如廁並看著她的性器官,當時大約七步外有男警站着。女警亦曾用金屬探測器檢查她身體並揭起她的上衣,當時旁邊一個有蓋停車場有超過20個男警在場。吳傲雪表示有人在網上對她人格謀殺,亦收到內地電話號碼的滋擾。她解釋自己站出來,是想到其他比她受到更嚴重性暴力和性侵的人,而自己沒有家庭,包袱較小,如果自己不站出來,就沒人敢發聲。她澄清,自己在新屋嶺沒有遭受性暴力,831被捕人士新屋嶺的待遇亦不太差,特別感謝陳虹秀社工在場幫助被捕人士。
但她強調,其後有被捕人士在新屋嶺遭受性侵,其中一位男性被輪姦和雞姦。她指對方仍在考慮是否公開,希望大家不要迫該名男事主。另一方面,今日網上有疑似男受害人轉發的信息,指自己是在927新屋嶺集會中,由集會代表講出經歷的當事人。他指自己今年中五,就讀九龍區知名男校,目前每星期仍需向警方報到。他稱被該名中大女生的勇氣激勵,決定會在一次民間記者會當眾將身份曝光,並指證其中一名雞姦他的白衣人士。


酷刑和私刑 Torture and Extrajudicial Punishment
In a radio program, Sonia Ng recalled that when she was at Kwai Chung Police Station, a female officer asked a male officer for help when tying her wrists up with cable ties. The male officer slapped her breasts forcefully, but she did not dare to resist. She said that she remembered the male officer's appearance, that he had been wearing a black police vest, and that he had his warrant card turned inward. She further stated that a female officer had stared at her using the bathroom and saw her private parts. A male officer was in close proximity as well. At the time of the arrest, a female officer had scanned her with a metal detector and lifted her top when about 20 male officers were present in the nearby carpark. Sonia said that she had been targeted for character assassination online and had been receiving nuisance calls from mainland phone numbers. She maintained the intent behind her speaking up was that there were others who had endured even harsher treatment and sexual violence. She had no family and, therefore, had less of a burden. She thought that if she did not speak up, no one would.
She further clarified that she had not experienced any sexual violence at San Uk Ling and that those who had been arrested on 31 August 2019 had not been treated too poorly there. She would like to extend special thanks to social worker Ms. Chen Hung Sau for helping the arrestees at the scene. But Sonia stressed that protesters had been sexually assaulted at San Uk Ling soon thereafter. Among the victims were a male protester who had been gang-raped and sodomized. She added that the victim was still considering whether to go public and urged him into doing so.
Not long after, text messages were being circulated online, allegedly from the aforementioned male victim. He claimed in the messages that he was the victim whose story had been read out by a representative at the 27 September San Uk Ling human rights concern rally and that he was a form 5 student at a renowned boys' school in Kowloon. He still had to report to a police station once a week. In the messages, he said that Sonia's courage inspired him. The messages stated that he had decided to reveal his identity at a citizens' press conference and testify against one of his rapists, cladded in white at the crime time.





酷刑和私刑 Torture and Extrajudicial Punishment
有關國際對酷刑條例的反應,聯合國禁止酷刑條例列明這些酷刑是被國際禁止使用,有關聯合國禁止酷刑條例,請按入禁止酷到條例
Convention against Torture and Other Cruel, Inhuman or Degrading Treatment or Punishment 。Please click.
跟進 Follow up
現在我們還有百多名因為反送中和港版國安法人士,而被定罪入獄,他們有否受到酷刑對待,我們必須關注。請跟我們聯絡。
Now we still have more than 100 people who have been convicted and imprisoned for anti-extradition and the Hong Kong version of the national security law. We must pay attention to whether they have been tortured.
Contact Us : follow-up@612hkexhibition.org.hk
612 Hong Kong Vision
另一方面,我們也經常在每一個現場看到警方不斷用私刑來打被捕的示威者,這種濫捕濫權,也涉及酷刑。根據聯合國禁止酷刑條約,羅馬國際刑事法院條約及香港法律427章都可以控告有關執法人員對被捕犯人進行酷刑,會被判死刑或終生監禁。同時我們更可以用全球馬格尼茨基人權問責法控告有關執法機構所有人違犯人權法。並且全球制裁所有犯事官員。如涉及整個警隊共同犯法,我們也會以國際法去解散整個警隊。
Furthermore, police using excessive and retaliatory force against protesters have become a familiar sight at every protest. Arbitrary arrests and excessive force during arrests also constitute cruel and unusual punishment. The United Nations Convention against Torture, the Rome Statute and Cap. 427 Crimes (Torture) Ordinance of Hong Kong Law are all laws that can be used to charge law enforcement officers who have used torture on arrested persons. Offenders can be sentenced to death or life imprisonment. Meanwhile, authorities permitting such gross human rights violations can also be sanctioned by the Magnitsky Act. It applies to all offending officials globally. We seek to disband the corrupt police altogether using International Law.









